
少量、均匀的牙龈退缩一般无症状,不需处理。如牙龈退缩持续进展,则应仔细寻找原因,并针对原因进行治疗,如改变刷牙习惯、修正不良修复体、调整咬合或正畸加力等。无论有无明确的原因,一旦发生较广泛的Miller分类Ⅲ~Ⅳ度牙龈退缩,则较难使其再生而恢复原有的高度,治疗主要是防止其加重。对于个别或少数前牙的Ⅰ~Ⅱ度牙龈退缩而影响美观者,可用侧向转位瓣手术、游离龈瓣移植术、结缔组织移植等手术来覆盖暴露的根面。牙槽骨板太薄或骨裂开者,也可用引导骨再生(guidedboneregeneration,GBR)手术来治疗。也有人报告可用特殊的树脂制作假牙龈,以解决美观问题。对牙龈退缩后继发牙本质过敏或根面龋的患者,应作对症处理。
1、用枸杞煮瘦肉或生地,熟地,生姜各15克煮鸡蛋,对预言及治疗牙周疾病效果良好,可以长期食用。
2、多吃深绿色蔬菜及水果,及时补充维生素C;
3、养成良好的口腔卫生习惯。应选用符合全国牙防组织推荐的牙膏及牙刷,每天刷牙2-3次,晚睡前的一次必不可少。在来不及或不方便刷牙时,可用漱口代替,在某些特殊场合里,可用汤或茶水漱口,以保持口腔清洁。

牙龈萎缩分为生理性萎缩和病理性萎缩两类,随着年龄的增长也会或多或少发生萎缩,使牙根暴露,这种叫生理性萎缩,是不需治疗的,但可以通过保健延缓。病理性萎缩主要由以下几种原因导致:
1、炎症性牙龈萎缩
龈缘部分存在异物(牙石)又长期得不到清理,细菌滋生刺激所致。这种萎缩最常见,主要是因为牙周炎导致牙周组织遭到破坏,牙槽骨吸收以后,附着在牙槽骨上的牙龈也就随着向牙根方向萎缩,只发生于患有牙周炎的患者。
2、机械性牙龈萎缩
主要是由于牙刷不符合标准,方法不正确(如横刷法),不良修复体等机械摩擦或压迫牙龈,造成牙龈和牙槽骨退缩。多发生于一组牙或个别牙。
3、废用性牙龈萎缩
主要由于牙齿没有了咀嚼功能,牙周组织缺乏必要的功能刺激,长期处于废用状态,可使牙龈,牙槽骨吸收。此种牙龈萎缩就如同一个人长期卧床,不进行行走活动,肌肉就会发生萎缩,这是相同的道理。

4、早老性牙龈萎缩
和老年人生理性牙龈萎缩相似,大部分或全口牙齿的牙龈和牙槽骨发生萎缩,但多发生于较年轻的青年人。也就是说年轻人出现老年人牙龈萎缩的表现,所以称为早老性牙龈萎缩。据最新的一项调查发现,年轻人过早的出现牙龈萎缩,认为是由于饮食或生活环境污染因素影响而导致牙龈萎缩(食物中含的激素、添加剂等)和药物导致导致牙龈萎缩。
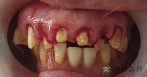
牙龈退缩后,临床牙冠变长,根面暴露,遇冷、热、甜等刺激时有牙本质过敏现象,甚至可引起牙髓炎。同时牙间隙增大,食物嵌塞,牙本质过敏。发生于前牙的牙龈退缩,会影响美观。
老年性牙周萎缩是全口牙槽骨高度均匀的降低,同时伴有牙龈的退缩,牙骨质暴露,临床牙冠变长,而无明显的局部因素及炎症。牙槽骨的丧失和龈软组织的退缩程度是一致的,牙龈、牙周纤维、牙槽骨仍保持其相互关系,患牙仍较稳固。早老性牙周萎缩可在年龄不相称的年轻人口腔内发现上述相似现象,全口牙周均匀退缩局部无明显的刺激因素,原因不明,可能与全身因素有关。
废用性牙周萎缩,用X线摄片检查发现牙周间隙狭窄,牙槽骨疏松,骨髓腔增大,硬骨板不清晰等缺乏功能性刺激的萎缩现象。
机械性萎缩多见于横向刷牙习惯的患者,发生于尖牙及双尖牙颈部楔状缺损。其他如有修复体压迫,食物嵌塞等,可引起龈炎及牙周袋的形成。
失用性萎缩患者口腔内可发现没有咬嚼功能的牙齿如错位牙,对颌牙缺失未及时修复、偏侧咀嚼等。
牙周炎所造成的牙龈萎缩,多见于牙周治疗后或口腔卫生状况改善后,牙周袋壁软组织退缩,使牙根暴露。
豫公网安备 41110202000246号互联网药品信息服务资格证书:(豫)-经营性-2022-0039增值电信业务经营许可证:豫B2-20221313医疗器械经营备案编号:豫郑食药监械经营备20212188号
		


		